- 1

Qué es el neumotórax
El neumotórax se produce al entrar aire en la cavidad pleural. Causa dolor y dificultad para respirar y puede deberse a un traumatismo, o ser espontáneo.
Leer más - 2

Causas del neumotórax
La causa del neumotórax puede ser un traumatismo, pero también se puede producir de forma espontánea (sin que haya ningún tipo de traumatismo previo).
Leer más - 3

Síntomas del neumotórax
El síntoma más típico del neumotórax es el dolor, que se suele localizar en la zona de la axila, y de ahí se puede irradiar a la espalda o al hombro.
Leer más - 4

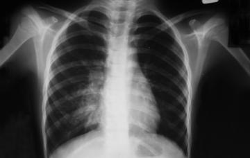
Diagnóstico del neumotórax
Para el diagnóstico de neumotórax es clave el tipo de dolor que refiere el paciente y la exploración física, junto a pruebas como radiografía de tórax y TC.
Leer más - 5

Tratamiento del neumotórax y cuidados posteriores
En el tratamiento del neumotórax se tiene en cuenta el estado del paciente, pero se suele dejar un drenaje y, si no es suficiente, se recurre a cirugía.
Leer más
También te puede interesar...
Lo más leído esta semana
- 1
¿Podemos prevenir el TDAH? Intervenciones antes de los cinco años
- 2
Padres quemados: impacto emocional de educar a un adolescente
- 3
Test ¿Eres una persona detallista?
- 4
Por qué es un temor infundado volver a coger peso tras un cáncer de mama
- 5
Cuando el cerebro hace una pausa: así son las epilepsias de ausencia
- 6
Heridas familiares no resueltas: cómo sanar estos traumas
- 7
Periodontitis, prevención y tratamiento de esta afección bucodental
- 8
Fragilidad y discapacidad en la vejez: dos caras de la misma moneda
- 9
Resiliencia en casa: cómo ayudar a los niños a crecer fuertes día a día
- 10
Caries, ¿avanza o se detiene? Cómo evitar que despierten las lesiones inactivas




















