- 1

Qué es el cáncer óseo
Conoce los tipos de tumores óseos, tanto los benignos como el cáncer, que en ambos casos pueden crecer y reemplazar tejido óseo sano por otro defectuoso.
Leer más - 2

Tipos de cáncer óseo
Te explicamos en qué consisten los tipos de cáncer óseo más comunes, como el osteosarcoma, el condrosarcoma, el sarcoma de Ewing y la metástasis.
Leer más - 3

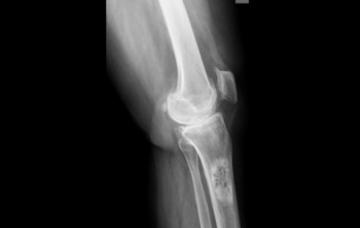
Diagnóstico del cáncer óseo
El diagnóstico del cáncer óseo se realiza mediante las siguientes técnicas: radiología simple, TAC, resonancia, y a veces biopsia o estudios de extensión.
Leer más - 4

Tratamiento del cáncer óseo
Las opciones existentes para el tratamiento del cáncer óseo pasan por cirugía, quimio y radioterapia, y en ocasiones criocirugía. Descubre su pronóstico.
Leer más
También te puede interesar...
Lo más leído esta semana
- 1
Finasterida para la caída del cabello ¿Puede afectar tu salud mental?
- 2
¿Felices 45? Crisis emocional en las mujeres de mediana edad
- 3
¿Debo tomar un suplemento de magnesio? ¿Ayuda a dormir o a prevenir calambres?
- 4
Cómo elegir la pasta de dientes más adecuada a tus necesidades
- 5
Balanitis, cómo evitar la inflamación del glande
- 6
Esmegma, cómo evitar esta desagradable secreción genital
- 7
Petting, redescubre el placer del sexo sin penetración
- 8
Test ¿Eres celoso? Descubre si los celos te dominan
- 9
Test de pareja: ¿continúas enamorado?
- 10
Chancro blando, dolorosas úlceras genitales de transmisión sexual
Entrevista con el experto


















