El TDAH afecta a la madurez de las redes cerebrales

Las conexiones internas entre las redes cerebrales son más lentas en pacientes con TDAH
23/09/2014
Los cerebros de los niños y adolescentes con TDAH (trastorno de hiperactividad y déficit de atención) son más lentos a la hora de formar las conexiones internas y entre las redes cerebrales, que los de otros menores de la misma edad que no presentan esta patología, según se ha observado en una investigación publicada en Proceedings of the National Academy of Sciences (PNAS).
Las conclusiones del estudio, en el que se ha analizado el cerebro de más de 750 menores, señalan que en los pacientes con TDAH maduran más lentamente las conexiones entre una red cerebral que controla el pensamiento dirigido desde el interior (como soñar despierto) y las redes que permiten al individuo centrarse en tareas que se dirigen desde el exterior, lo que podría explicar por qué a estas personas les resulta tan difícil mantener la concentración y se distraen con mucha facilidad.
El estudio comprobó que existían retrasos en el desarrollo de ciertas conexiones cerebrales en los pacientes con TDAH, lo que podría explicar por qué les resulta tan difícil mantener la concentración
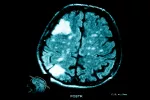
Los investigadores, del Departamento de Psiquiatría de la Facultad de Medicina de la Universidad de Michigan (EE.UU.), examinaron imágenes cerebrales obtenidas mediante resonancia magnética, para observar cómo distintas redes cerebrales, con diversas funciones, se comunican interiormente y entre ellas, y comprobaron que existían retrasos en el desarrollo de ciertas conexiones, especialmente en dos zonas específicas del cerebro, donde otras investigaciones sobre la estructura física de los cerebros de pacientes con TDAH ya habían encontrado alteraciones.
Los resultados obtenidos son también importantes porque pueden contribuir a analizar cómo evoluciona el TDAH desde la infancia a la edad adulta, ya que mientras que algunos niños se desarrollan al margen de la enfermedad, otros muchos continúan teniendo este trastorno al llegar a adultos, y nuevos estudios sobre cómo madura la red cerebral en el TDAH podrían ayudar a comprender la base neural que explica la diferencia entre pacientes.
Actualizado: 31 de julio de 2017











