Cirrosis

Por: María Alba Jiménez
Licenciada en Medicina por la Universidad de Alcalá de Henares y pediatría en el Hospital General de Villalba
- 1

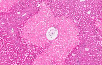
Qué es la cirrosis
La cirrosis provoca la cicatrización del hígado y el desarrollo de estructuras anómalas e impide su correcto funcionamiento, lo que puede causar la muerte.
Leer más - 2

Causas de la cirrosis
La causa principal de la cirrosis es el abuso de alcohol, pero también puede estar asociada a otras enfermedades e incluso a la ingesta de ciertos fármacos.
Leer más - 3

Síntomas de la cirrosis
Los síntomas de cirrosis suelen ser pérdida de apetito y peso, fatiga, ictericia e inflamación abdominal, pero hay otros derivados de sus complicaciones.
Leer más - 4

Complicaciones de la cirrosis
Te explicamos cuáles son las complicaciones más frecuentes de la cirrosis, y que requieren una atención médica urgente por su gravedad.
Leer más - 5

Diagnóstico de la cirrosis
El diagnóstico de cirrosis se obtiene con una exploración, analítica y pruebas de imagen. El diagnóstico definitivo se hace mediante una biopsia hepática.
Leer más - 6

Tratamiento de la cirrosis
La cirrosis no se cura, pero un tratamiento adecuado puede reducir el daño del hígado, y evitar o controlar las complicaciones asociadas a la enfermedad.
Leer más





















