- 1

Qué es el síndrome de Klinefelter y qué lo causa
El síndrome de Klinefelter o 47-XXY afecta el desarrollo sexual de los varones, y se debe a la presencia de una copia extra del cromosoma X en cada célula.
Leer más - 2

Síntomas del síndrome de Klinefelter
Los principales síntomas del síndrome de Klinefelter son testículos pequeños, disminución de testosterona y de la libido y sobrepeso, entre otros.
Leer más - 3

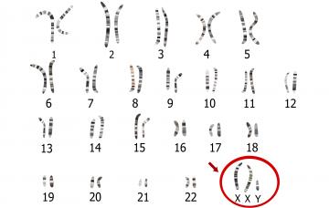
Diagnóstico del síndrome de Klinefelter
El diagnóstico del síndrome de Klinefelter se basa en una prueba llamada cariotipo, y también es posible realizar el diagnóstico prenatal de este trastorno.
Leer más - 4

Tratamiento del síndrome de Klinefelter
No existe un tratamiento curativo para el síndrome de Klinefelter, pero se pueden tratar la mayoría de sus síntomas, con testosterona y diversas terapias.
Leer más
También te puede interesar...
Lo más leído esta semana
- 1
Love bombing, pon límites a esta manipulación amorosa
- 2
Efectos del cannabis medicinal en los pacientes con diabetes: ¿qué se sabe?
- 3
Cómo elegir la pasta de dientes más adecuada a tus necesidades
- 4
Por qué es un temor infundado volver a coger peso tras un cáncer de mama
- 5
¿Podemos prevenir el TDAH? Intervenciones antes de los cinco años
- 6
¿Podemos enseñar a los niños a pisar el freno? Qué es la inhibición conductual
- 7
Padres quemados: impacto emocional de educar a un adolescente
- 8
Caries, ¿avanza o se detiene? Cómo evitar que despierten las lesiones inactivas
- 9
Esmegma, cómo evitar esta desagradable secreción genital
- 10
Balanitis, cómo evitar la inflamación del glande
Entrevista con el experto
















