- 1

Qué es la tuberculosis
La tuberculosis es una infección producida por una bacteria de la familia de las micobacterias, que puede afectar solo al pulmón, o a más órganos.
Leer más - 2

Causas de la tuberculosis
El contagio de tuberculosis ocurre cuando una persona inhala microscópicas gotas de saliva procedentes del enfermo que contienen la bacteria que la causa.
Leer más - 3

Síntomas de tuberculosis
Los síntomas más frecuentes de la tuberculosis pulmonar, la forma más común, son tos, expectoración, febrícula, pérdida de apetito y peso, y cansancio.
Leer más - 4

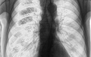
Diagnóstico de la tuberculosis
Para el diagnóstico de tuberculosis, además de los síntomas del paciente, se realizan pruebas sencillas como análisis del esputo y radiografía de tórax.
Leer más - 5

Tratamiento de la tuberculosis
El tratamiento de la tuberculosis es complejo, y se basa en la toma de varios antibióticos durante periodos de tiempo nunca inferiores a seis meses.
Leer más - 6

Tuberculosis en situaciones especiales
La tuberculosis se manifiesta de forma diversa en determinadas situaciones, como en pacientes con VIH, embarazadas o mujeres lactantes, y niños.
Leer más - 7

Prevención de la tuberculosis
Para prevenir el contagio de tuberculosis hay que limitar el contacto con los enfermos, que deben estar aislados durante la fase infectiva, y ventilar.
Leer más
También te puede interesar...
Lo más leído esta semana
- 1
¿Los niños realmente necesitan suplementos vitamínicos?
- 2
Padres quemados: impacto emocional de educar a un adolescente
- 3
Caries, ¿avanza o se detiene? Cómo evitar que despierten las lesiones inactivas
- 4
Por qué es un temor infundado volver a coger peso tras un cáncer de mama
- 5
¿Podemos prevenir el TDAH? Intervenciones antes de los cinco años
- 6
¿Podemos enseñar a los niños a pisar el freno? Qué es la inhibición conductual
- 7
Petting, redescubre el placer del sexo sin penetración
- 8
Balanitis, cómo evitar la inflamación del glande
- 9
Fragilidad y discapacidad en la vejez: dos caras de la misma moneda
- 10
¿Te apasiona la alimentación? Así puedes formarte en nutrición y vivir de ello
Entrevista con el experto




















